GERMANY
Most of pencil in brain removed
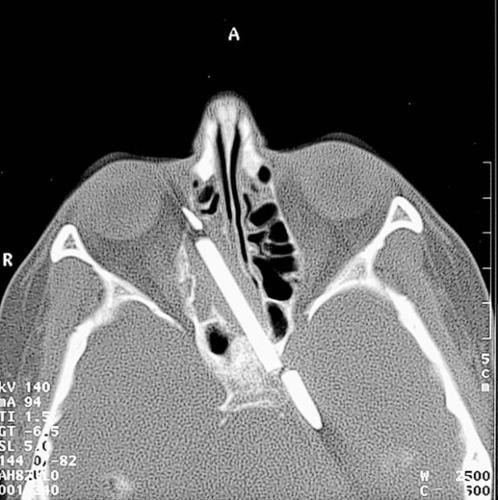
BERLIN — A woman who had a pencil lodged in her head for 55 years after a childhood accident has finally had most of it removed, which should end her chronic headaches and nosebleeds, her doctor said Tuesday.
Margaret Wegner was 4 when she fell while carrying the 3.15-inch pencil; it went through her cheek and into her brain.
At the time, the technology did not exist to safely remove the pencil, so Wegner, now 59, had to live with it — and the ensuing chronic headaches, nosebleeds and loss of sense of smell — for the next 5 1/2 decades.
But on Friday, Dr. Hans Behrbohm, an ear, nose and throat specialist at Berlin's Park-Klinik Weissensee, was able to identify the exact location of the pencil so that he could determine the risks of removing it, and then took most of it out.
People are also reading…
THAILAND
Coral reefs dying faster than expected
BANGKOK — Coral reefs in much of the Pacific Ocean are dying faster than previously thought, according to a study released Wednesday, with the decline driven by climate change, disease and coastal development.
Researchers from the University of North Carolina in Chapel Hill found that coral coverage in the Indo-Pacific — an area stretching from Indonesia's Sumatra island to French Polynesia — dropped 20 percent in the past two decades.
About 600 square miles of reefs have disappeared since the 1960s, the study found, and the losses were just as bad in Australia's well-protected Great Barrier Reef as they were in poorly managed marine reserves in the Philippines.
The Indo-Pacific contains 75 percent of the world's coral reefs and provides a home for a wide range of marine plants and animals.
BRITAIN
Humans may have spread hoof-mouth
NORMANDY — Britain's health and safety agency said Tuesday there was a strong probability that a foot-and-mouth outbreak in southern England originated at a vaccine lab and was spread by human movement.
The outbreak was discovered on a farm just four miles from the Pirbright vaccine laboratory, which is shared by the government's Institute for Animal Health and a private pharmaceutical firm, Merial Animal Health, the British arm of Duluth, Ga.-based Merial Ltd.
There is a "real possibility" the disease was spread by human movement, and the possibility it was transmitted by air or floodwaters was "negligible," the government's Health and Safety Executive said.
Foot-and-mouth can be carried by wind and on the vehicles and clothes of people who come into contact with infected animals.
THE KOREAS
2 leaders to meet
SEOUL, South Korea — The leaders of North and South Korea will hold their second-ever summit later this month, the South Korean president's office announced Wednesday, reprising the historic June 2000 meeting that launched unprecedented reconciliation between the two longtime foes.
North Korean leader Kim Jong Il and South Korean President Roh Moo-hyun will meet Aug. 28-30 in Pyongyang, North Korea's capital, presidential security adviser Baek Jong-chun told reporters.
TAJIKISTAN
Trial begins for two ex-Gitmo detainees
DUSHANBE — Two former Tajik detainees of the U.S. military prison in Guantanamo went on trial in their home country Tuesday on charges of mercenary activity in neighboring Afghanistan, presiding judge Masammir Urakov said.
Mukit Vokhidov and Rukhiddin Sharopov are suspected of links to the Islamic Movement of Uzbekistan, an al-Qaida-connected militant group responsible for several bombings and armed incursions across ex-Soviet Central Asia, Urakov said.
The two are accused of illegally crossing into Afghanistan in 2001 and serving as IMU mercenaries, said their lawyer.
They were detained by the U.S. military in northern Afghanistan in November 2001 and taken to the U.S. Guantanamo base in Cuba. In March, they were handed over to Tajik authorities.
JAPAN
Upper house picks Eda as president
TOKYO — Veteran opposition lawmaker Satsuki Eda was voted president of Japan's upper house of parliament Tuesday, while media reported fresh scandals for Prime Minister Shinzo Abe's beleaguered government.
Eda's party, the Democratic Party of Japan, which trumped Abe's ruling coalition in the July 29 elections for the upper chamber, also said it might call for an end to the country's air force mission to support U.S. operations in Iraq — setting up a showdown over a key tenet of Japanese foreign policy.
Eda is the first opposition lawmaker to hold the post since the ruling Liberal Democratic Party began 50 years of almost uninterrupted political domination in 1955.
Though Abe's ruling coalition still controls the more powerful lower house, which chooses the prime minister, the Democrats' advance in the upper house is expected to make it difficult for the ruling bloc to pass laws.
INDIA
13 men charged in train bombings
MUMBAI — An Indian court has formally charged 13 men with murder for their alleged involvement in train bombings last year that killed 187 people in India's financial capital of Mumbai.
All the defendants pleaded not guilty in the July 2006 bombings, which also injured 824 people. If convicted, the men face 25 years imprisonment to the death penalty.
Police say the 13 men, along with 15 others still at large, plotted and carried out the attacks, setting off a series of bombs that ripped apart seven train coaches during evening rush hour.
According to the charges, the men were members of Lashkar-e-Tayyaba, an Islamic militant group based in Pakistan, and of the Students' Islamic Movement of India, or SIMI, a banned group based in northern India.
AFGHANISTAN
Militants attack U.S.-led base
GHAZNI — A group of 75 Taliban militants tried to overrun a U.S.-led coalition base in southern Afghanistan on Tuesday, a rare frontal attack that left more than 20 militants dead, the coalition said in a statement.
The insurgents attacked Firebase Anaconda from three sides, using gunfire, grenades and 107 mm rockets, the coalition said. A joint Afghan-U.S. force repelled the attack with mortars, machine guns and air support.

